+91 8527479066
Joint pain can severely affect mobility and quality of life. Choosing the right country and hospital for knee or hip replacement surgery ensures long-term relief, faster recovery, and safe surgical outcomes.
India has become one of the most preferred destinations for total knee replacement and hip replacement surgeries for patients from Nigeria, Kenya, Ethiopia, Tanzania, Ghana, Uganda, Zambia, and other African nations.
High medical standards & internationally accredited hospitals
Affordable knee & hip replacement costs
Highly experienced orthopedic & joint replacement surgeons
Advanced implants & minimally invasive techniques
Short waiting time for surgery
Complete international patient support
Santhora Health ensures every detail of your journey is managed with care, so you can focus fully on healing.

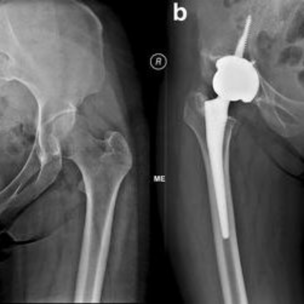
Replaces the damaged hip joint on one side with an artificial implant.
Recommended for patients with severe pain and functional limitation in one hip.
Get Free Quote in 24 hours
Both hip joints are replaced in a single surgical plan.
Recommended when both hips are severely affected.
Get Free Quote in 24 hours
An alternative to full replacement where only the damaged joint surface is treated.
Preserves more bone and may be suitable for younger, active patients.
Get Free Quote in 24 hours
Performed when a previous hip replacement fails or wears out.
More complex due to scar tissue and implant removal.
Get Free Quote in 24 hours
Recommended when both knees are severely damaged due to advanced arthritis.
Both knee joints are replaced in a single surgical procedure .Helps reduce long-term pain and improve overall mobility .
Get Free Quote in 24 hours
Suitable when only one knee joint is affected.
Replaces the damaged knee while preserving the healthy joint .
Shorter recovery time compared to bilateral surgery .
Get Free Quote in 24 hours










Santhora Health ensures every detail of your journey is managed with care, so you can focus fully on healing.
We manage your treatment journey end-to-end.
Send your medical reports by WhatsApp or email.
We get opinions from top world class doctors.
You receive a detailed plan, hospital options, and total estimate within 24 hours.
Airport pickup, accommodation assistance, hospital registration, and care coordination.